Ortam Ortodonti
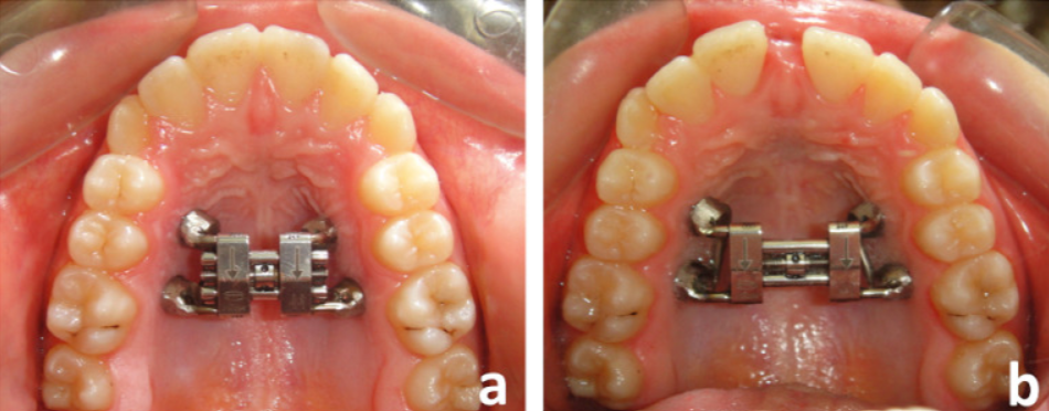
MIARPE - Mini Implant Assisted Rapid Palatal Expansion (Tam Set)
Dr. Çınar Atagün'ün tasarladığı, ANGLE ORTHODONTICS'te best paper ödüllü yayını olan kemik destekli palatal expansiyon apareyi.
Aparey mini vidalar ile sabit olmasına rağmen istenildiğinde herhangi bir amaçla rahatlıkla ağızdan çıkarılıp, tekrar yerine takılabilir.
Hyrax vida ile ekspansiyon miktarı yeterli gelmez ise herhangi ek bir laboratuvar işlemi gerektirmeksizin, hyrax vidasında ufak bir değişiklik yapılarak istenilen miktarda ek ekspansiyon yapılabilir.
Aparey içeriğinde:
- 4 adet Orlus/Yesanchor Mini İmplant
- 4 adet İmplantlar ile uyumlu Cap
- 4 adet Ölçü için implant analogu
- 1 adet LEWA HYRAX vidası
- Uygulama yöntemi ve tavsiyeler metni
mevcuttur.
Teslim alım stok durumu yüklenemedi
